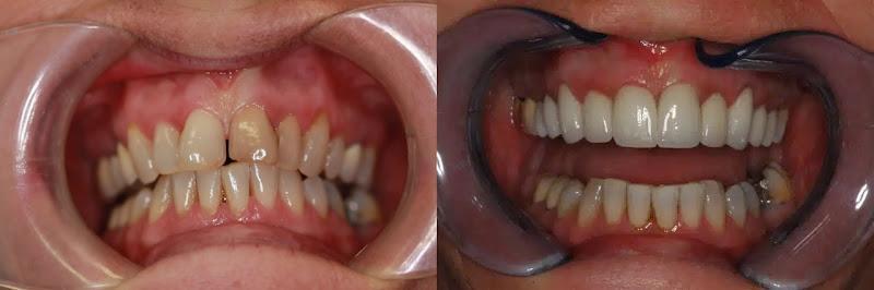
Jh Mountain Dental stands out in Jackson thanks to quality care, advanced treatments and attention to detail. They help improve confidence through veneers, whitening and aesthetic restorations.
Jh Mountain Dental – Trusted Cosmetic Dentist in Jackson, Wyoming

Jh Mountain Dental in Jackson is a top choice for anyone seeking exceptional cosmetic dentistry. With an impressive 5-star rating, this practice has earned its reputation for providing personalized care and outstanding results. What sets Jh Mountain Dental apart is their state-of-the-art technology, ensuring that every treatment is as effective and comfortable as possible. Patients rave about the friendly and professional staff, who create a welcoming atmosphere that puts even the most anxious visitors at ease. For anyone looking to enhance their smile, Jh Mountain Dental proves to be a trusted and reliable option in the Jackson area.
| Monday | N/A |
| Tuesday | N/A |
| Wednesday | N/A |
| Thursday | N/A |
| Friday | N/A |
| Saturday | N/A |
| Sunday | N/A |
Find Jh Mountain Dental on the Map
Get Smile Consultation Now 🔥Schmidt Paula J Dds is a strong option in Jackson for patients seeking cosmetic dental treatments with reliable care and modern technology. They help improve confidence through veneers, whitening and aesthetic restorations.
Schmidt Paula J Dds – Trusted Cosmetic Dentist in Jackson, Wyoming

Schmidt Paula J DDS is a top-rated cosmetic dentist located in JH Community Pathways, Jackson, with a remarkable 5-star rating that speaks volumes about the quality of care provided. Patients consistently praise her attention to detail and personalized treatment plans, ensuring a comfortable experience tailored to individual needs.
What truly sets Dr. Schmidt apart from the competition is her commitment to using the latest dental technology, which enhances both the effectiveness and efficiency of her treatments. This focus on innovation, combined with her warm and professional demeanor, fosters a trusting environment for all clients. For those seeking exceptional cosmetic dentistry in Jackson, Schmidt Paula J DDS stands out as a reliable choice.
| Monday | N/A |
| Tuesday | N/A |
| Wednesday | N/A |
| Thursday | N/A |
| Friday | N/A |
| Saturday | N/A |
| Sunday | N/A |
Find Schmidt Paula J Dds on the Map
Get Smile Consultation Now 🔥Dental Care Of Jackson Hole stands out in Jackson thanks to quality care, advanced treatments and attention to detail. They help improve confidence through veneers, whitening and aesthetic restorations.
Dental Care Of Jackson Hole – Trusted Cosmetic Dentist in Jackson, Wyoming

Dental Care Of Jackson Hole, located in JH Community Pathways, has earned an impressive 4.9-star rating, showcasing their commitment to exceptional patient care. This dental practice stands out for its personalized approach, ensuring each patient feels comfortable and informed throughout their treatment.
With a team of highly skilled professionals, Dental Care Of Jackson Hole combines advanced technology with a warm, welcoming atmosphere. Patients appreciate their thorough consultations and tailored treatment plans, fostering a sense of trust and confidence. When searching for the best cosmetic dentist in Jackson, this practice truly leads the way in quality and compassion.
| Monday | N/A |
| Tuesday | N/A |
| Wednesday | N/A |
| Thursday | N/A |
| Friday | N/A |
| Saturday | N/A |
| Sunday | N/A |
Find Dental Care Of Jackson Hole on the Map
Get Smile Consultation Now 🔥Owens Family Dentistry stands out in Jackson thanks to quality care, advanced treatments and attention to detail. They focus on natural-looking results and patient comfort.
Owens Family Dentistry – Trusted Cosmetic Dentist in Jackson, Wyoming

Owens Family Dentistry in Jackson stands out with an impressive 4.9-star rating, reflecting their commitment to exceptional dental care. Patients appreciate the friendly and knowledgeable staff, who take the time to ensure every visit is comfortable and stress-free.
One of the key features that sets Owens Family Dentistry apart is their use of advanced technology, allowing for precise and efficient treatments. The team is dedicated to maintaining the highest standards of professionalism, ensuring that every patient’s needs are met with care and expertise.
For those seeking a reliable cosmetic dentist, Owens Family Dentistry is a top choice for achieving beautiful smiles in a welcoming environment.
| Monday | N/A |
| Tuesday | N/A |
| Wednesday | N/A |
| Thursday | N/A |
| Friday | N/A |
| Saturday | N/A |
| Sunday | N/A |
Find Owens Family Dentistry on the Map
Get Smile Consultation Now 🔥Jackson Family Dentistry is a strong option in Jackson for patients seeking cosmetic dental treatments with reliable care and modern technology. They help improve confidence through veneers, whitening and aesthetic restorations.
Jackson Family Dentistry – Trusted Cosmetic Dentist in Jackson, Wyoming

Jackson Family Dentistry, located on Maple Way in Jackson, boasts an impressive 4.8-star rating that speaks to their commitment to quality care. This dental practice stands out for its personalized approach, ensuring each patient feels valued and understood. The experienced team, led by skilled cosmetic dentists, utilizes the latest technology to deliver exceptional results in a comfortable environment.
With a focus on patient education and satisfaction, Jackson Family Dentistry fosters a trusting relationship between dentists and patients. This level of professionalism and care makes them a top choice for anyone seeking cosmetic dentistry in the Jackson area.
| Monday | N/A |
| Tuesday | N/A |
| Wednesday | N/A |
| Thursday | N/A |
| Friday | N/A |
| Saturday | N/A |
| Sunday | N/A |
Find Jackson Family Dentistry on the Map
Get Smile Consultation Now 🔥Teton Dental Arts is a strong option in Jackson for patients seeking cosmetic dental treatments with reliable care and modern technology. They focus on natural-looking results and patient comfort.
Teton Dental Arts – Trusted Cosmetic Dentist in Jackson, Wyoming

Teton Dental Arts, located at JH Community Pathways in Jackson, has earned an impressive 4.8-star rating from satisfied patients. This cosmetic dentist stands out for its commitment to personalized care, ensuring that each patient feels valued and understood throughout their dental journey.
With a skilled team of professionals and a welcoming environment, Teton Dental Arts combines advanced technology with a gentle touch. Patients appreciate the focus on creating stunning, natural-looking smiles, making it a top choice for dental aesthetics in the area. Trust and professionalism are evident at Teton Dental Arts, where every smile is crafted with care.
| Monday | N/A |
| Tuesday | N/A |
| Wednesday | N/A |
| Thursday | N/A |
| Friday | N/A |
| Saturday | N/A |
| Sunday | N/A |
Find Teton Dental Arts on the Map
Get Smile Consultation Now 🔥Patients in Jackson choose Elk Ridge Dental for professional cosmetic dentistry and personalized smile solutions. They focus on natural-looking results and patient comfort.
Elk Ridge Dental – Trusted Cosmetic Dentist in Jackson, Wyoming

Elk Ridge Dental in Jackson boasts a remarkable 4.7-star rating, positioning itself as a top choice for cosmetic dentistry in the area. Known for its modern techniques and a warm, welcoming atmosphere, the practice ensures that each patient feels comfortable and valued.
What truly sets Elk Ridge Dental apart is its commitment to personalized care, where the skilled team takes the time to understand individual needs and designs tailored treatment plans. Patients appreciate the combination of professionalism and friendliness
With a focus on enhancing smiles and ensuring lasting results, Elk Ridge Dental stands out as a trusted provider in Jackson.
| Monday | N/A |
| Tuesday | N/A |
| Wednesday | N/A |
| Thursday | N/A |
| Friday | N/A |
| Saturday | N/A |
| Sunday | N/A |
Find Elk Ridge Dental on the Map
Get Smile Consultation Now 🔥Find a Better Smile in Jackson
The right cosmetic dentist in Jackson can transform both appearance and confidence.
Review the best options near you and book with confidence.
Cosmetic Dentists in Laramie, Wyoming
Cosmetic Dentists in Evanston, Wyoming
Cosmetic Dentists in Lander, WyomingWe hope you enjoyed reading this guide about Cosmetic Dentists in Jackson, Wyoming.

