Adlong Dental is a trusted cosmetic dentist in Conway helping patients improve their smile with modern treatments.
Adlong Dental – Cosmetic Dentist in Conway

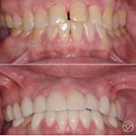
They offer customized cosmetic dental treatments designed for long-term confidence.
Location of Adlong Dental
Adlong Dental Opening Hours
| Monday | N/A |
| Tuesday | N/A |
| Wednesday | N/A |
| Thursday | N/A |
| Friday | N/A |
| Saturday | N/A |
| Sunday | N/A |
Contact Adlong Dental
If you want to contact Adlong Dental, you can call them directly using the button below:
About Adlong Dental
Adlong Dental, located at 893 Wingate Street in Conway, specializes in cosmetic dentistry designed to meet the needs of families and professionals seeking enhanced smiles. This practice understands that a beautiful smile can boost confidence and improve social interactions, making it especially valuable for busy professionals who wish to present their best selves in the workplace.
For families, Adlong Dental offers a welcoming environment paired with comprehensive aesthetic treatments, including teeth whitening, bonding, and veneers. This focus ensures that both parents and children can achieve their desired smiles in a comfortable setting, fostering positivity and self-esteem.
Moreover, the clinic employs state-of-the-art technology, making it easier for students and athletes to access quick and effective dental solutions. This accessibility is important for those balancing school, sports, and social activities, as they can maintain their oral health and aesthetics without compromising their daily schedules.
In summary, Adlong Dental caters to individuals and families alike, providing exceptional cosmetic dentistry that enhances smiles and enriches lives.
Thanks for reviewing Adlong Dental. Explore more cosmetic dentists nearby to find the ideal fit.
Lenderman & Meek Dental Cosmetic Dentist in Conway
Dental Solutions Of Central Arkansas, P.a. Cosmetic Dentist in Conway
Eastern Slope Dental Cosmetic Dentist in ConwayWe hope you enjoyed reading this guide about Adlong Dental Cosmetic Dentist in Conway.
